Энцефалодисплазия у ребёнка

Модератор: Второв А.В.

Римма Медушевская
Сообщения: 1
Зарегистрирован: 11 апр 2017, 14:03

Энцефалодисплазия у ребёнка

Сообщение Римма Медушевская » 11 апр 2017, 14:24

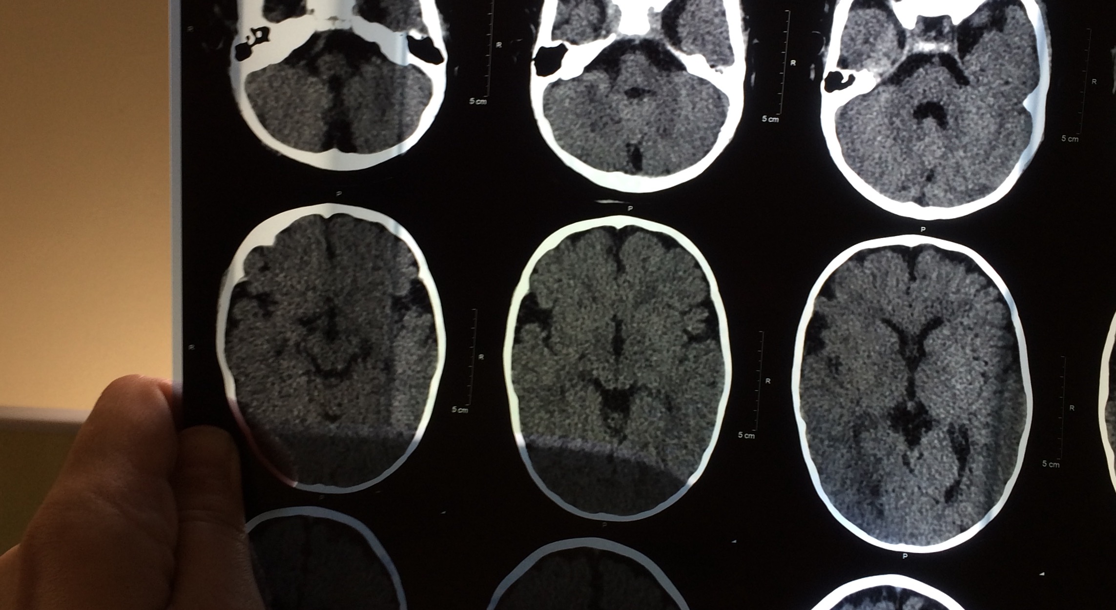
Добрый день! Сыну 7 мес . Родился на 37 неделе путём кесарева сечения. Я на последних неделях беременности 3 раза перенесла орви. Ребёнок родился с тяжёлой двусторонней пневмонией со всеми вытекающими. Был в медикаментозной коме. 12 дней на ивл. За этот период 2 раза были судороги. Реаниматологи сказали что метаболические. До месяца были на отделении опн. Выписаны домой в удовлетворительном состоянии. Наблюдались неврологом по месту жительства. ППЦНС. Пили Пантогам и 2 курса массажа. В 6 месяцев на фоне орви и субфебрильной температуры появились судороги. Фокальные. До 6-8 серий в сутки. Серия по 8-29 приступов. Длятся серии от 1 до 11 минут. Три невролога нас смотрели и без ээг и других методов обследования назначали депакин. Мы все таки добились кт и ээг. На кт-энцефалодисплазия. Похоже, что ещё при рождении все это было. Сейчас принимаем кеппру и депакин. Тут нам собираются только снять приступы, а дальше- сами.
Я - врач, закончила Педиатрическую Академию в 2006 году. Вышла замуж и уехала в Туапсе. Тут на нас ставят крест и лечить и реабилитировать не собираются.
Хочу у Вас проконсультироваться. Мы можем приехать к Вам? Что для этого надо? Какие прогнозы при таком диагнозе. Симптоматическая эпилепсия на фоне энцефалодисплазии.
Вложения
IMG_5738.JPG
IMG_5737.JPG
IMG_5736.JPG

Аватара пользователя
Второв А.В.
Сообщения: 515
Зарегистрирован: 28 сен 2012, 08:17

Re: Энцефалодисплазия у ребёнка

Сообщение Второв А.В. » 29 авг 2017, 15:35

Здравствуйте!
Показаний к нейрохирургической оперативной коррекции сейчас у ребенка нет. Вам целесообразно обратиться в педиатрическую академию каф неврологии проф Гузевой для определения тактики консервативного лечения. Нейрохирург может понадобиться в дальнейшем, если течение заболевания будет эпилептологами признано фармакорезистентным.
Второв Александр Владимирович
Заведующий отделением хирургии нервных и психических заболеваний
Врач-нейрохирург высшей категории


Вернуться в «Детский нейрохирург»

Кто сейчас на конференции

Сейчас этот форум просматривают: нет зарегистрированных пользователей и 13 гостей