Мне 32 года. 
Сейчас, виду здоровый образ жизни, но сидячий 8 часов в день: велосипед; ходьба; ходьба по ступенькам; бег; работа со своим весом; скакалка.
Какие ограничения у меня должны быть ? 
В более возрасте во что это все выльется ?
Как заниматься профилактикой: бады, витамины, таблетки ?
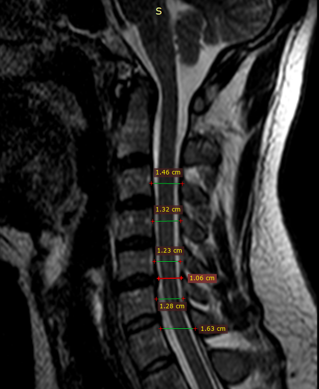
ШОП.
Получено изображение сегментов С1-Th1. Дистрофические изменения 1-2 стадии во всех
исследованных сегментах, в виде полосовидной дегидратации м/п дисков и снижения
дифференцировки фиброзного кольца и пульпозного ядра.
Шейный лордоз сглажен. Сколиотической деформации позвоночника
Не определяется.
Взаимоотношения в переднем и боковых атланто-аксиальных, а также атланто-затылочных суставах правильные. Костно-деструктивных изменений не определяется. Линия заднего контура ровная.
Краниовертебральный переход без особенностей.
Асимметрия позвоночных артерий D>S, гипоплазия левой позвоночной артерии в сегменте V2. Мелкие центральные протрузии в сегментах С3-С5, сагиттальным размером до 1,5 мм, с лёгким дискодуральным конфликтом.
Протрузия на широком основании в сегменте С5-С6 с латерализацией вправо, сагиттальным размером до 2 мм с дискомедуллярным конфликтом 1 степени.
Мелкая центральная протрузия в сегменте С6-С7, с лёгким дискодуральным конфликтом.
Признаков миелопатии не получено. Канал спинного мозга не расширен.
Исходный сагиттальный размер позвоночного канала на уровне С4-С7 не более 13 мм.
Паравертебральные мягкие ткани не изменены. Данных за t-r spinalis не получено. Новообразований не определяется. Минимальный субхондральный отек тел позвонков в сегменте С5-С6 (изменения по типу Модик I), без выпота под продольными связками.
Заключение:
Остеохондроз шейного отдела позвоночника 1-2 стадий. Врожденный, относительно узкий позвоночный канал. Мелкие центральные протрузии в сегментах С3-С5. Протрузия на широком основании в сегменте С5-С6 с латерализацией вправо. Мелкая центральная протрузия в сегменте С6-С7. Реактивные изменения в сегменте С5-С6. Асимметрия позвоночных артерий D>S, гипоплазия левой позвоночной артерии в сегменте V2. Рекомендована консультация невролога.
ПОП.
Получено изображение сегментов Th12-S4. Дистрофические изменения 1 стадии во всех исследованных сегментах, в виде полосовидной дегидратации м/п дисков. Изменений дугоотростчатых суставов не выявлено. Физиологический лордоз сглажен, сколиотической деформации позвоночника не определяется.
Мелкая гемангиома тела Th11 – 6 мм.
Диффузное выбухание диска и мелкая протрузия на широком основании в сегменте L4-L5, сагиттальным размером 2-3 мм, с лёгким дискодуральным конфликтом, лёгким сужением радикулярных карманов и межпозвонковых отверстий.
Мелкая центральная протрузия в сегменте L5-S1 с лёгким дискодуральным конфликтом. Паравертебральные мягкие ткани не изменены. Данных за t-r spinalis
Новообразований не определяется. Каудальные сегменты спинного мозга и корешки конского хвоста не изменены. Патологического отека тел позвонков не определяется.
Исходный сагиттальный размер позвоночного канала на уровне L3-S1 не более 14 мм.
Заключение:
Остеохондроз L1-S1 - 1 стадии. Врожденный, относительно узкий позвоночный канал. Диффузное выбухание диска и мелкая протрузия на широком основании в сегменте L4-L5. Мелкая центральная протрузия в сегменте L5-S1. Рекомендована консультация невролога.
							